Artículos

/ Publicado el 29 de septiembre de 2025

Hospital Provincial del Centenario

Caso clínico: “Cuando la piel guarda el secreto”

Una mujer joven con lesiones cutáneas y fiebre. Un desafío para la interpretación. ¿Cuál será el diagnóstico? Participa en los comentarios.

Autor/a: Huhn Virginia, Alan Altamirano, Francisco Consiglio, Roberto Parodi.

Enfermedad actual

Mujer de 28 años que consulta por cuadro de 48 horas de evolución caracterizado por vómitos alimenticios, diarrea no disenteriforme y registros febriles constatados. Refiere tos con expectoración mucosa de 7 días de evolución.

Presenta lesiones cutáneas de larga data que actualmente se encuentran eritematosas, con pérdida de sustancia y úlceras profundas. Cabe destacar que la paciente completó tratamiento antibacilar de primera línea por diagnóstico de tuberculosis diseminada 3 semanas previo a la consulta.

Datos filiatorios

- Mujer cis.
- 28 años. 
- Ciudad de origen: Rosario, Santa Fe, Argentina.  

Antecedentes desde el punto de vista biográfico

- Nació y vivió en Rosario, Santa Fe.
- Vivienda con servicios básicos cubiertos, vive con su pareja y 3 hijos.
- Desempleada.
- Sin foco para tuberculosis claro.

Antecedentes personales desde el punto de vista clínico

- Gestas 3, partos 3.
- Método anticonceptivo: SIU (sistema intrauterino liberador de hormonas).
- Lupus eritematoso sistémico diagnosticado hace 3 años. Presenta compromiso cutáneo-mucoso (alopecia, fotosensibilidad y úlceras orales), articular, hepático, renal, anticuerpos para síndrome antifosfolipídico positivos y múltiples internaciones por reactivación de enfermedad de base. En tratamiento con hidroxicloroquina, prednisona y rituximab. Realizó varios tratamientos inmunosupresores que debieron ser suspendidos por diferentes efectos, a saber: metotrexate por toxicidad hepática, azatioprina por farmacodermia severa, y micofenolato por diagnóstico de tuberculosis diseminada.

Perfil de autoanticuerpos al momento del diagnóstico: 

FAN / ANA1/2560M-H-A
C328 mg%VN (90-180)
C411 mg%VN (10-40)
ANCA CNo reactivo 
ANCA PNo reactivo 
Ac. Anticardiolipinas IgM125 mplU/mlReactivo fuerte
Ac. Anticardiolipinas IgG48 GPLU/mlReactivo
Beta 2 glicoproteina I IgM> 150 SGUReactivo
Beta 2 glicoproteina I IgG13 SGUNo reactivo
ENA71 UReactivo
dsDNAReactivo 
HistonasReactivo 
SmD1Reactivo 
U1-snRNPReactivo 
SS-A/Ro52kDNo reactivo 
SS-A/Ro60kDReactivo 
SS-B/LaReactivo 
Scl70No reactivo 
CENP-BNo reactivo 
POReactivo 
NucleosomasReactivo 
 
- Internación prolongada hace 3 años por síndrome coledociano con diagnóstico posterior de hepatopatía colestásica indeterminada autoinmune. Presentó como complicación un síndrome febril por el cual se realiza tomografía de tórax evidenciando lesiones micronodulares de aspecto “árbol en brote” asociado a bronquiectasias de tracción con tractos fibrodensos adyacentes, se realizó lavado broncoalveolar sin aislamiento en cultivos (gérmenes comunes, micología y micobacterias).
- Lesiones cutáneas de 2 años de evolución en estudio. Se realiza una primera biopsia cutánea con sospecha inicial de paniculitis lúpica.
- Quantiferon reactivo. Realizado como parte de screening basal para admisión a un ensayo clínico terapéutico en Lupus, siendo por este resultado excluida del mismo. 
- Internación prolongada hace 1 año para estudio de lesiones cutáneas, se realiza biopsia cutánea con diagnóstico de paniculitis lobular con vasculitis y granulomas. Presentó como complicaciones:
Síndrome febril con foco pulmonar por lo que se realiza nuevo lavado broncoalveolar con cultivos negativos y biopsia pulmonar con hallazgos de granulomas intersticiales.
Espondilodiscitis en el contexto diagnóstico tuberculosis diseminada. Presentó GeneXpert MTB/Rif reactivo y biopsia ósea con la presencia de granulomas, por lo que inicia antibacilares de primera línea. 
Edema agudo de pulmón secundario a taquicardia auricular multifocal.
Biopsia pulmonar: Fragmentos de parénquima pulmonar que exhiben alveolos focalmente colapsados a expensas de formación de granulomas intersticiales (sin centro necrótico ni corona linfocitario evidente, con presencia de células gigantes multinucleadas de tipo Langhans). Con la coloración de Ziehl-Neelsen no se evidencian BAAR. No se observa signos de desviación maligna en el material examinado. 
Citología de lavado broncoalveolar: material citológico de fondo mucoide sobre el que asientan numerosas células macrofágicas alveolares, y menor número de linfocitos y células gigantes multinucleadas de tipo Langhans. Con la coloración de Ziehl-Neelsen no se evidencia BAAR. Negativo para células neoplásicas.
Biopsia ósea: osteomielitis crónica granulomatosa que exhibe algunos granulomas de centro necrótico con numerosas células gigantes multinucleadas de tipo Langhans. En coloración de Ziehl-Neelsen y PAS no se observan microorganismos. GeneXpert MTB/Rif positivo. 

Medicación habitual: hidroxicloroquina 400 mg por día, prednisona 10 mg por día, ácido ursodesoxicólico 300 mg por día. 
 
A modo de resumen, para mayor compresión de la historia clínica, una línea de tiempo:
 
Momento Situación
3 años previosDiagnóstico de LES → Poliartralgias, alopecia, pérdida de peso, úlceras orales, fotosensibilidad
Sindrome coledociano → Hepatopatía colestásica indeterminada
Imágenes pulmonares → ZN negativo
Reactivación de LES: SLEDAI 2K 14 puntos
2 años previosDermatosis→ Miembros superiores: prurigo / liquen → Azatioprina
Miembros inferiores: máculas/nódulos hipo e  hiperpigmentados
Quantiferon reactivo
1 año previoInternación→ Piel: paniculitis lobular con vasculitis y granulomas
→ Mal de Pott: espondilodiscitis, geneXpert + en muestra ósea, cultivo que no muestra resistencia a agentes antibacilares
→ Pulmón: granulomas. Inicia antibacilares de primera línea
6 meses previosAmbulatorio→ Persistencia de lesiones en piel
→ Mejoría de lesiones óseas y pulmonares
1 mes previoAmbulatorio→ Completa 1 año de antibacilares
→ Inicia micofenolato
INTERNACIÓN ACTUAL
 

Examen físico de ingreso


Signos vitales: TA 90/60 mmHg, FC 95 lpm, FR 18 rpm, T° 36 ºC, SatO2 99 % (0.21).

Piel: lesiones cicatrizales hiperpigmentadas en miembros inferiores, sobre todo en región glútea y muslos, lesiones maculares hipopigmentadas en manos, úlceras profundas en glúteo derecho y cadera izquierda con pérdida de sustancia.

Sistema ganglionar: sin adenopatías.

Cabeza: Ojos: conjuntivas rosadas, escleras blancas. Movimientos oculares no dolorosos. Fosas nasales: permeables sin secreciones ni epistaxis. Puntos sinusales negativos. Cavidad bucal: mucosas húmedas, piezas dentarias incompletas en regular estado. Lengua central sin lesiones. 

Cuello: cilíndrico, simétrico, no se palpan adenopatías ni tiroides. Sin ingurgitación yugular. Pulsos carotídeos simétricos, sin soplos.

Tronco: diámetro anteroposterior normal, sin cicatrices. Mamas: sin nódulos ni depresiones ni secreción por pezón. Columna: sonora, indolora, sin desviaciones. Puño-percusión: negativa bilateral. Edema sacro: ausente.

Aparato respiratorio: respiración costoabdominal, sin utilización de músculos accesorios. Expansión de bases y vértices conservada. Excursión de bases conservadas. Sonoridad conservada. Murmullo vesicular conservado con hipoventilación en base izquierda, sin ruidos agregados.

Aparato cardiovascular: no se observa latido patológico, no se palpan frémito ni latido patológico, ritmo cardíaco regular, ruidos cardíacos normofonéticos, sin soplos ni R3/R4.

Abdomen: abdomen plano, sin estigmas de circulación colateral ni cicatrices. Blando, depresible y levemente doloroso en hipocondrio derecho. Sin visceromegalias. Timpanismo conservado. Traube libre. Ruidos hidroaéreos conservados.

Neurológico: Lúcida. Sin signos a destacar al examen físico neurológico. 

Extremidades: Superiores: Tono, trofismo y movilidad conservados.  Pulsos conservados. Sin edema ni adenopatías. Inferiores: Tono, trofismo y movilidad conservados. Homans y Ollows negativos. Sin edemas ni adenopatías.
 
 
Imagen 1: Úlcera profunda en glúteo derecho, sin fetidez, ni secreción, de bordes definidos y fondo limpio. 1 año previo a la internación actual.
 
 
Imagen 2: Úlcera en región de cadera izquierda, con costra negruzca, sin fetidez ni secreción. 1 año previo a la internación actual.
 

Imagen 3:
Lesiones nodulares violáceas, dolorosas, en diferentes estadios evolutivos. 1 año previo a la internación actual.
 
 
Imagen 4: Evolución de lesión en cara externa de cadera izquierda (lesión actual).
 

Estudios complementarios al ingreso

 
 
LABORATORIOIngreso
Hemoglobina (g/dL) 9.4
Hematocrito (%) 29
VCM (fl) 75.5
HCM (pg) 24.7
Glóbulos blancos (/mm) 20 150
Plaquetas (/mm) 272 000
Glicemia (mg/dl) 85
Urea (mg/dl) 51
Creatinina (mg/dl) 1.88
Sodio (mEq/l) 128
Potasio (mEq/I) 3.82
Cloro (mEq/l) 94
Bilirrubina total (mg/dL) 1.09
TGO (UI/L) - VN (5 - 32) 35
TGP (UI/L)- VN (5 - 33) 9
FAL (UI/L)- VN (40 - 129) 107
GGT (UI/L)- VN (5 - 55) 42
Colinesterasa sérica (UI/L) - VN (6400 - 15500) 5541
Amilasa (UI/L) - VN (28 - 100) 124
VES (mm/1° hora) 85
PCR (mg/L) 263
TP (seg) 13.9
KPTT (seg) 30
 
Orina completa: color pardo, aspecto límpido, densidad 1026, pH 5, proteinuria 1+ (g/l), glucosuria no detectable, cetonuria 1+, pigmentos biliares 1+, urobilinas 1+, hemoglobinuria 2+, hematíes 0-1 x campo de 400x, leucocitos 0-1 x campo de 400x, piocitos no se observan, células epiteliales 3-4 x campo de 400x , cilindros hialinos 2 por campo.
- Electrocardiograma de ingreso: ritmo sinusal, regular, FC: 90 lpm. Sin signos de isquemia aguda ni arritmias.
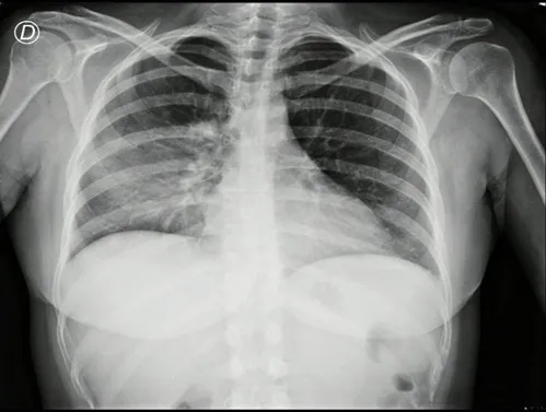
Radiografía de tórax de ingreso: Regular técnica. Senos costofrénicos libres. Evidencia de radio opacidad heterogénea en base pulmonar derecha sin grandes cambios con respecto a radiografías previas. 
 
 
Imagen 5: Radiografía de tórax frente, presenta radiopacidad heterogénea en base pulmonar derecha.
 

Interpretación inicial

 
Cursa internación inicialmente por síndrome febril con probable foco pulmonar y gastrointestinal, ante el contexto de inmunosupresión se realiza urocultivo (negativo), coprocultivo (desarrollo de flora habitual) y se solicita una Toxina A de Clostridium difficile en materia fecal con resultado positivo. Inicia antibioticoterapia empírica con ceftriaxona, la cual realiza por 5 días, y ante la presencia de infección por Clostridium difficile se realiza vancomicina vía oral por 10 días. 

Las lesiones cutáneas persisten y tienen mala progresión. ¿Cuál será el diagnóstico para estas lesiones en la piel de la paciente y qué procedimientos se le deberían indicar?